周光飆研究組發現肺癌精準治療新標記
發現基因及其編碼蛋白質的異常是癌症精準治療的基礎。局部黏著斑激酶(focal adhesion kinase, FAK)是一種重要的非受體型酪氨酸激酶,在幾乎所有的細胞中均有表達,可將細胞外的重要信號(如細胞生長、營養等)向細胞內傳導,調控細胞的基本生物學功能。FAK在肺癌等腫瘤中表達增高並與病人預後負相關,抑製FAK在臨床試驗中顯示一定的抗癌活性。然而,目前缺乏指導FAK抑製劑臨床應用的生物標記物。
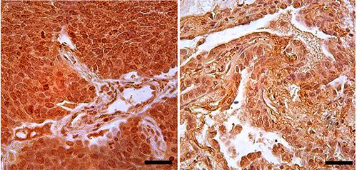
必威在线网址 周光飆研究組係統研究了非小細胞肺癌中FAK的結構變異體。他們對91例肺癌病人的FAK基因組序列和編碼區序列進行測序,發現在7例病人癌組織中存在4種類型的FAK變異體:一例病人發生基因內部串聯重複突變體(FAK-ITD),一例病人發生A1004S點突變,一例病人發生第5-27號外顯子缺失的突變,四例病人表達剪切異構體FAK6,7(在Y397自磷酸化位點前後分別插入編碼6、7個氨基酸的外顯子Box 6和Box 7)。與不吸煙病人相比,吸煙病人發生FAK變異的比例明顯增高。分析癌症基因組測序TCGA數據庫中肺癌病人的RNA測序數據,發現在508例肺腺癌病人中有42例 (占8.3%)、501例肺鱗癌病人中有37例 (占7.4%)病人表達含有“Box 6”及/或“Box 7”的 FAK可變剪切變異體,且吸煙的肺腺癌病例發生FAK結構變異的比例明顯高於非吸煙病人。與野生型FAK相比, FAK-ITD和FAK6,7的自磷酸化水平增強(見圖),酪氨酸激酶活性增高,對FAK激酶抑製劑的敏感性顯著增強。該研究對肺癌病人FAK 抑製劑的臨床精準應用具有指導意義,也說明吸煙可引起重要基因的剪切變異從而危害健康。
這一研究成果日前發表在Journal of the National Cancer Institute期刊上(論文鏈接),博士研究生周博、助理研究員王桂珍是論文的第一作者,周光飆研究員是論文的通訊作者,中山大學腫瘤醫院溫浙盛教授、昆明醫科大學附屬腫瘤醫院黃雲超教授等是論文的共同作者。該項目得到國家自然科學基金傑出青年科學基金、精準醫學研究國家重點研發計劃、中國科學院“個性化藥物——基於疾病分子分型的普惠新藥研發”戰略性先導專項等的支持。

FAK6,7病人肺癌組織FAK蛋白磷酸化水平(左)比FAK野生型病人(右)磷酸化水平明顯增高

